- 2017.04.24
- 肘痛 ~変形性肘関節症~

皆さま、おはようございます。
ヒノキの花粉がいっぱい飛んで、あちらこち花粉症の方がお見えに。。。(*_*;
辛いですよね。
岐阜市六条東にある鍼灸接骨院、
ながの鍼灸接骨院の院長、長野 有高です。
今日は、肘の筋肉の障害、神経の障害、肘の骨折に続いて、肘の変形についてお話しますね。
肘の病気、第8回目は変形性肘関節症です。
変形性肘関節症
変形性肘関節症は、言葉の通り、肘の変形が原因で痛くなります。
50~60歳代から発症することが多くみられます。
肘関節の間には関節軟骨に覆われており、衝撃を緩和するクッションの役目を果たしています。
その関節軟骨が肘の使いすぎによりすり減ると、肘に痛みを感じたり、骨と骨がぶつかり合って骨のトゲ(骨棘)ができるなどの症状が出ます。
変形性肘関節症の原因
肉体労働を続けたことによる肘関節の使い過ぎ
野球やテニス、いわゆる野球肘やテニス肘などが原因
ケガや先天性の異常によって発症する
変形性肘関節症の診断
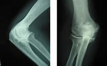
問診(職業の他、運動の経験などの問診)、診察、X線検査などを行います。
X線撮影で骨の変形具合を確認します。
関節リウマチや神経の病気との鑑別が必要になります。
変形性肘関節症の症状
肘の変形
肘の痛み(洗顔や歯磨き、着替えなど日常生活動作が困難になる)
肘の変形によって発生した骨棘が尺骨神経を傷つけることにより、小指が痺れる、握力が低下することもあります(肘部管症候群)
50歳~60歳の働き盛りの方!もしも肘が痛いなと思われたら、変形性肘関節症かもしれません!
肘に違和感があるなと思ったら、一人で悩まず、
まずはお電話を 058-213-7927
ご来院をお待ちしております
ヒノキの花粉がいっぱい飛んで、あちらこち花粉症の方がお見えに。。。(*_*;
辛いですよね。
岐阜市六条東にある鍼灸接骨院、
ながの鍼灸接骨院の院長、長野 有高です。
今日は、肘の筋肉の障害、神経の障害、肘の骨折に続いて、肘の変形についてお話しますね。
肘の病気、第8回目は変形性肘関節症です。
変形性肘関節症
変形性肘関節症は、言葉の通り、肘の変形が原因で痛くなります。
50~60歳代から発症することが多くみられます。
肘関節の間には関節軟骨に覆われており、衝撃を緩和するクッションの役目を果たしています。
その関節軟骨が肘の使いすぎによりすり減ると、肘に痛みを感じたり、骨と骨がぶつかり合って骨のトゲ(骨棘)ができるなどの症状が出ます。
変形性肘関節症の原因
肉体労働を続けたことによる肘関節の使い過ぎ
野球やテニス、いわゆる野球肘やテニス肘などが原因
ケガや先天性の異常によって発症する
変形性肘関節症の診断
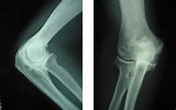
問診(職業の他、運動の経験などの問診)、診察、X線検査などを行います。
X線撮影で骨の変形具合を確認します。
関節リウマチや神経の病気との鑑別が必要になります。
変形性肘関節症の症状
肘の変形
肘の痛み(洗顔や歯磨き、着替えなど日常生活動作が困難になる)
肘の変形によって発生した骨棘が尺骨神経を傷つけることにより、小指が痺れる、握力が低下することもあります(肘部管症候群)
50歳~60歳の働き盛りの方!もしも肘が痛いなと思われたら、変形性肘関節症かもしれません!
肘に違和感があるなと思ったら、一人で悩まず、
まずはお電話を 058-213-7927
ご来院をお待ちしております




